İmplant Diş ve İmplant Tedavisi… Ağız & Diş sağlığında MEF Dental Grup estetiksel ve fonksiyonel rahatsızlıkları en ince ayrıntısına kadar çözen uzman kadrosu ve steril klinik şartlarıyla öne çıkan bir kliniktir. İnsanların gülüşlerini korumak ve kaybettikleri dişleri geri kazandırmak adına sunduğu çözümlerle MEF Dental kişilere sağlık ve güvenin mükemmel bir buluşma noktasını sunmaktadır. Bu bağlamda Diş İmplantı Tedavisi modern teknoloji ve tıbbın kucaklaştığı bir başarı hikayesidir.
Diş eksikliği sorununu titanyumdan yapılmış bir çözümle aşan İmplant Tedavisi hem estetik kaygıları ortadan kaldırırken hem de fonksiyonel eksiklikleri gidererek hastalara hayatlarının tadını çıkarma fırsatı sunar. MEF Dental Grup tarafından sunulan Diş İmplantı Tedavisi ile ilgili merak edilen soruların cevaplarına bu yazımızla yakından bakalım.
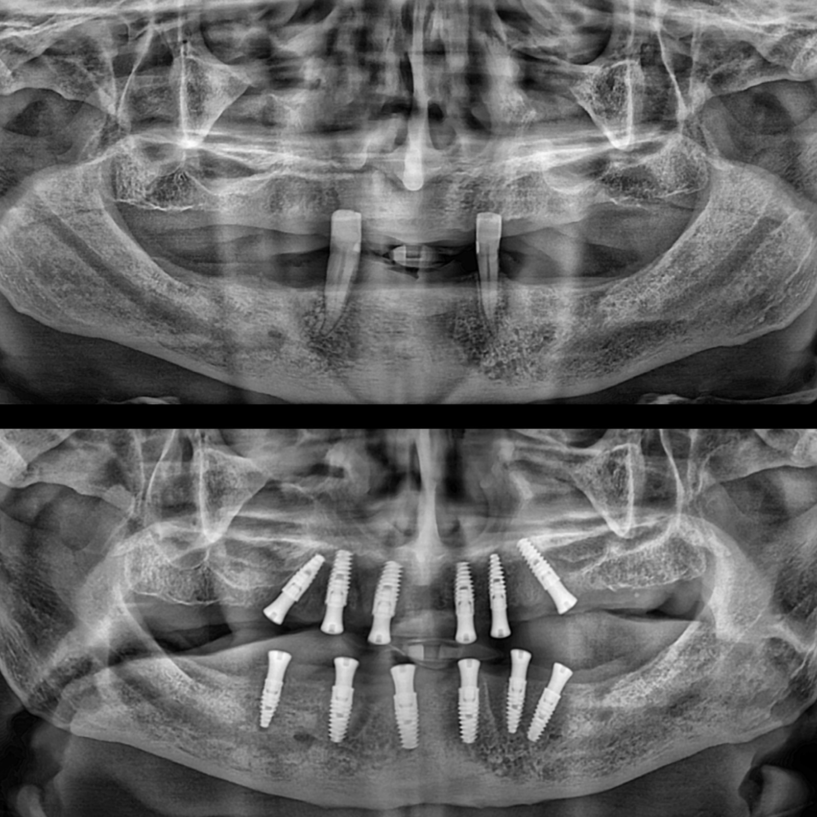
Diş İmplantı kaybedilen dişlerin yerine titanyumdan yapılmış vida benzeri yapıların çene kemiğine yerleştirilmesi işlemidir. Bu yapının üzerine yerleştirilen Protez Diş doğal dişe benzer şekilde görünür ve fonksiyonel bir çözüm sunar. İmplant Tedavisi;
- Diş eksikliği,
- Birden fazla dişin kaybedilmesi,
- Çeşitli nedenlerle diş kaybı yaşanması,
- Protez dişlere olan uyumsuzluk,
tercih edilebilir.
Tedavi Hakkında Detaylı Bilgi Almak İçin Tıklayınız
İmplant Tedavisi uzman diş hekimi tarafından yapılan detaylı muayene sonrasında planlanır. Çene kemiğine yerleştirilen titanyum vida birkaç ay süren iyileşme sürecinin ardından protez dişin sabitlenmesiyle tamamlanır. Tedavi süreci kişisel duruma göre değişiklik gösterse dahi 3 ila 6 ay arasında tamamlanır. Bu süre İmplantın çene kemiğiyle bütünleşmesini sağlamak amacıyla gereklidir.
Diş İmplantı lokal anestezi altında yapılır. Bu nedenle uygulama sürecinde herhangi bir ağrı ya da sızı hissedilmez. Tedavi sonrası hafif ağrı veya şişlik olabilir. Lakin bu durum geçicidir ve ağrı kesicilerle kontrol edilebilir. Kalıcı sonuçlar sunan İmplant Tedavisi iyi bakım ve düzenli diş kontrolleri 20 ila 25 yıl sorunsuz şekilde kullanılabilir.
İmplant Fiyatları kullanılan malzeme, tedavi sürecinin karmaşıklığı ve tedavinin uygulandığı yer gibi faktörlere bağlı olarak değişiklik gösterir. MEF Dental Grup uygun fiyatlarla kaliteli İmplant Tedavisi sunmaktadır. Size özel fiyat teklifi almak için İletişim kanallarımızı kullanıp Bize Ulaşabilirsiniz…
MEF Dental Grup deneyimli uzmanları ve modern teknolojik altyapısıyla İmplant Tedavisi sürecini en etkili ve konforlu şekilde gerçekleştirir. Hastalar steril klinik şartları ve uzman ekibi ile güvenli bir ortamda tedavi olmanın avantajlarını yaşarlar. Ayrıca uygun fiyatlarla kaliteli hizmet sunan MEF Dental estetik ve fonksiyonel açıdan başarılı sonuçlar elde etmenize yardımcı olur.
Sizlerde Hemen Bize Ulaşıp randevu alarak Ağız, Diş ve Çene Cerrahisi Uzmanı hekimlerimiz kontrolünde MEF Dental kalitesi ve garantisiyle İmplant Tedavisi yaptırabilir; diş kaybı sonucu maruz kaldığınız estetiksel problemlerden ve fonksiyonel bozukluklardan (ısırma, konuşma, çiğneme gibi) güvenli, konforlu ve etkili bir tedavi süreciyle hızla kurtulabilirsiniz.
İmplant Nedir
Diş İmplantı kaybedilen dişlerin yerine konulabilen yapay diş kökleri olarak bilinir. Titanyum madde ile yapılan İmplantlar çene kemiğine yerleştirilir. Zaman içerisinde kemikle bütünleşip sağlam bir temel oluşturur. Bu yapı üzerine yerleştirilen Protez Diş doğal dişe benzer şekilde görünür ve fonksiyonel bir çözüm sunar.
İmplant Diş Nedir
İmplant Diş kaybedilen bir dişin yerine konulması amacıyla uygulanan Diş İmplantı Tedavisi sonucunda elde edilen yapay dişe verilen isimdir. Diş eksikliği sorununu çözmek, estetik bir gülümsemeye sahip olmak ve çiğneme fonksiyonlarını restore etmek için kullanılır.

İmplant Çeşitleri
İmplant Çeşitleri kullanım amaçlarına ve uygulama alanlarına göre değişiklik gösterir. Teknik bir detay olsa dahi hastalarımızı bu konuda bilgilendirmeyi hedeflemekteyiz. Günümüzde en sık tercih edilen İmplant Çeşitleri arasında;
- Endosteal İmplantlar : Çene kemiğine doğrudan yerleştirilen implantlardır.
- Subperiosteal İmplantlar : Çene kemiği üzerine yerleştirilen implantlardır.
- All-on-4 İmplantlar : Bir yay sistemiyle desteklenen ve bir kemiğin üzerine yerleştirilen implantlardır.
- Zygomatic İmplantlar : Yanak kemiğine yerleştirilen implantlardır.
gösterilebilir.
İmplant Hangi Durumlarda Uygulanır
Diş İmplantı Tedavisi çeşitli durumlarda diş eksikliği sorununa etkili bir çözüm sunar. Modern teknolojinin Ağız ve Diş Sağlığı kapsamında sunduğu çok değerli bir uygulama olan İmplantlar kalıcı çözümler sunmaktadır. İmplant uygulamasının düşünülebileceği durumlar;
- Bireysel Diş Kaybı : Tek bir diş kaybı durumunda komşu dişlerin sağlığını koruyarak İmplant kullanılabilir.
- Birden Fazla Diş Kaybı : Birden fazla diş kaybı yaşandığında köprü yerine İmplantlar tercih edilebilir.
- Tüm Dişlerin Kaybı : Tam dişsizlik durumunda İmplant Destekli Protez (All-on-4 veya All-on-6) kullanılabilir.
- Protezlerin Uyumsuzluğu : Geleneksel protezin uyumsuz olduğu durumlarda İmplant daha stabil ve rahat bir çözüm sunabilir.
- Çene Kemiğindeki Problemler : Çene kemiğinde yeterli miktarda kemik bulunmaması durumunda çeşitli İmplant Uygulamaları kullanılarak çözüm sağlanabilir.
olarak belirtilebilir.
İmplant Tedavisi Nasıl Yapılır
İmplant Tedavisi diş eksikliği sorununu çözmek amacıyla çene kemiğine yerleştirilen titanyum implantların kullanılmasıyla yapılan cerrahi işlemdir. Bu uygulama steril klinik ortamında ve Uzman Çene Cerrahı tarafından yapılması gereken bir işlemdir. İmplant Tedavisi aşamalarını maddeler halinde;
1-) Muayene ve Değerlendirme
- Çene Cerrahı hastanın genel sağlık durumunu ve ağız yapısını değerlendirir.
- Röntgen ve Bilgisayarlı Tomografi (BT) gibi görüntüleme teknikleri kullanılarak çene kemiği yapısı incelenir.
2-) Tedavi Planı Oluşturma
- Hastanın durumuna uygun tedavi planı hazırlanır.
- İmplantın sayısı, tipi ve yerleştirileceği konum belirlenir.
3-) Anestezi
- İmplantın yerleştirileceği bölge lokal anestezi ile uyuşturulur.
- Gerekirse sedasyon veya genel anestezi tercih edilebilir.
4-) İmplant Yerleştirme
- Diş hekimi çene kemiğine bir kesik açarak implantın yerleştirileceği alana erişir.
- Titanyum implant çene kemiğine vidalanır.
5-) İyileşme Süreci
- İmplant yerleştirildikten sonra çene kemiği ile implant arasında birleşme süreci olan osseointegrasyon başlar.
- Bu süreç 3 ila 6 ay arasında sürer.
6-) Geçici Protez Uygulaması
- İyileşme süreci içerisinde hastanın estetiksel ve fonksiyonel ihtiyaçlarını karşılamak için Geçici Protez takılabilir.
7-) İkinci Cerrahi Aşama (Opsiyonel)
- Bazı durumlarda ikinci bir cerrahi aşama gerekli olabilir. Bu aşamada implant üzerine bir başlık takılır.
8-) Ölçü Alımı ve Kalıcı Protez Uygulaması
- İmplant üzerine yerleştirilen başlık sayesinde diş hekimi hastanın ağız ölçülerini alır.
- Laboratuvarda özel olarak hazırlanan Kalıcı Protez implant üzerine sabitlenir.
9-) Son Kontroller ve Bakım
- İmplant Tedavisi tamamlandıktan sonra düzenli kontrol ve bakım ziyaretleri implantın sağlığını ve dayanıklılığını sürdürmek için önemlidir.
açıklayabiliriz.
İmplant Tedavisi MEF Dental bünyesinde modern diş hekimliği teknolojisi ve uzmanlıkla birleşerek diş eksikliği sorununa kalıcı & etkili bir çözüm sunar. Sizde farklı nedenlerle maruz kaldığınız diş kayıplarını kalıcı olarak gidermek ve kusursuz bir gülümsemeye sahip olmak için Hemen Bizi Arayın…

İmplant Nasıl Takılır
İmplant Tedavisi bir dizi adımdan oluşan cerrahi uygulamadır ve birkaç ziyaret gerektirir. İmplantın nasıl takıldığını adımlar halinde;
- Muayene ve Planlama : Uzman diş hekimi hastanın ağız yapısını inceleyerek tedavi planını oluşturur. Gerekirse röntgen ve diğer görüntüleme teknikleri kullanılır.
- Cerrahi Aşama : Lokal anestezi altında çene kemiğine İmplant yerleştirilir. Bu işlem endosteal veya subperiosteal implantlar kullanılarak gerçekleştirilebilir.
- İyileşme Süreci : İmplantın çene kemiği ile bütünleşmesi için birkaç ay süren iyileşme sürecine geçilir. Bu süreç implantın sağlam bir temel oluşturmasını sağlar.
- Geçici Protez : İyileşme süreci devam ederken hastaya geçici bir protez takılabilir. Bu sayede estetik ve fonksiyonel ihtiyaçlar karşılanır.
- Kalıcı Protez Takılması : İyileşme tamamlandığında özel hazırlanan Kalıcı Protez Diş İmplant üzerine sabitlenir.
- Son Kontroller ve Bakım : İmplant Tedavisi tamamlandıktan sonra düzenli kontrol ve bakım ziyaretleri implantın uzun vadeli başarısını sağlamak için önemlidir.
ifade edebiliriz.
İmplant Vidası Takıldıktan Sonra Diş Ne Zaman Takılır
İmplant vidasının takılmasının ardından iyileşme süreci için birkaç ay beklenir. İyileşme süreci tamamlandığında Çene Cerrahı kalıcı protezi takmak için tedaviyi planlar. Toplam süre kişinin kemik yapısı ve sağlığına bağlı olarak değişmekle birlikte ortalama 3 ila 6 ay arasında ifade edilmektedir.
İmplant Tedavisi Ne Kadar Sürer
İmplant Tedavisi birkaç aşamadan oluştuğu için hasta özel durumuna bağlı olarak süreç değişiklik gösterebilir. Muayene, planlama, cerrahi aşama, iyileşme süreci ve kalıcı protez uygulaması gibi adımları içeren toplam süre 3 ila 6 ay arasında değişebilir.
İmplant Ömrü Ne Kadar
Diş İmplantı Ömrü bakım, hijyen alışkanlıkları ve genel ağız sağlığına bağlı olarak değişiklik gösterir. Uygun bakım ve düzenli kontrolle birlikte İmplantlar Ömür Boyu dayanabilir. Çene Cerrahı tarafından belirli periyotlarda yapılacak kontrol ve bakım ziyaretleri implantın uzun vadeli başarısını artırabilir.
İmplant Ağrılı Mı
İmplant Tedavisi lokal anestezi altında gerçekleştirildiği için ağrısız ve sızısız bir uygulamadır. Tedavi sonrası hafif ağrı veya şişlik olabilir. Geçici olarak ifade edilen bu durum ağrı kesicilerle kolayca kontrol altına alınabilir.
Tedavi Hakkında Detaylı Bilgi Almak İçin Tıklayınız
İmplant Zor Mu
İmplant Uygulaması Ağız ve Çene Cerrahisi alanında uzman bir hekim tarafından yapılmalıdır. İmplant Tedavisi cerrahi bir işlem olduğu için deneyimli hekimin elinde başarıyla tamamlanır. Modern teknolojinin avantajlarıyla birleşen uzmanlık implant tedavisini daha güvenli ve etkili bir hale getirmiştir.
İmplant Üstü Protez
İmplant Üstü Protez implantların üzerine yerleştirilen, destek aldığı için çene kemiği üzerinde baskı yapmayan protezlerdir. Estetik ve fonksiyonel ihtiyaçlara uygun olarak tasarlanan bu protezler güvenilir bir çözüm sunar ve diş eksikliği sorununu çözer. İmplant Üstü Protez sabit veya çıkarılabilir olabilmekle birlikte hastanın tercihine ve durumuna bağlı olarak seçilir.
İmplant Sonrası
İmplant Uygulamaları sonrasında tedavinin başarısı ve hastanın sağlığı için özen gösterilmesi gereken belirli hususlar bulunmaktadır. İmplant Tedavisi Sonrası Dikkat Edilmesi Gerekenler;
1-) Ağız Hijyeni
- İmplant bölgesini temizlemek için nazik bir diş fırçası ve diş ipi kullanın.
- Antibakteriyel ağız gargarası ile ağız hijyenine dikkat edin.
2-) Sigara ve Alkol
- İmplant uygulaması esnasında iyileşme sürecinde sigara içmekten kaçının. Çünkü nikotin kemik iyileşmesini olumsuz etkileyebilir.
- Aşırı alkol tüketiminden kaçının. Çünkü alkol implantın başarısını etkileyebilir.
3-) Düzenli Kontroller
- Diş hekiminizin önerdiği düzenli kontrolleri aksatmayın.
- İmplantın sağlığını ve dayanıklılığını değerlendirmek amacıyla röntgen çekimleri yaptırın.
4-) Diş Sıkma ve Gıcırdatma
- Bruksizm (Diş Sıkma) sorunu varsa uygun bir gece plağı kullanın.
- Diş Gıcırdatma alışkanlıklarını kontrol etmek için gerekirse diş hekiminizle görüşün.
5-) Ağır Gıdalardan Kaçının
- İyileşme sürecinde aşırı çiğnemeye neden olabilecek sert ve sıcak gıdalardan kaçının.
- İmplant çevresinde dokuların sağlıklı iyileşmesini desteklemek adına yumuşak gıdalar tüketin.
şeklinde özetlenebilir.
İmplant Avantajları
İmplant Uygulamaları farklı nedenlerle diş kayıpları yaşayan kişilere estetiksel ve fonksiyonel açıdan pek çok avantajı bir arada sunmaktadır. İmplant Tedavisi Faydaları arasında;
- Doğal Dişe Benzerlik : İmplantlar doğal dişe benzer şekil, renk ve dokularla tasarlanır. Bu sayede estetik bir görünüm sağlanır.
- Fonksiyonel Avantaj : Diş İmplantları çiğneme fonksiyonlarını doğal dişler gibi geri kazandırır ve konuşma güçlüklerini önler.
- Dayanıklılık ve Uzun Ömür : İmplantlar uygun bakım ve düzenli kontrollerle birlikte uzun ömürlü bir çözüm sunarlar. Geleneksel protezlere kıyasla daha dayanıklıdır.
- Çevresel Dişlere Zarar Vermez : İmplant komşu dişlere destek olarak kullanılmadığı için çevre dişlere zarar vermez. Diğer dişlere bağımsız bir şekilde entegre edilir.
- Kemik Kaybını Önler : İmplantlar çene kemiğine yerleştirildikleri için kemik kaybını önler ve çene kemiğinin stabilitesini korur.
- Doğal Görünüm ve Konfor : Diş İmplantları estetik olarak doğal dişlere çok yakın bir görünüm sunar ve konforlu kullanım sağlar. Sabit implant üstü protezler çıkarılabilir protezlere kıyasla daha sağlam ve rahat bir çözümdür.
gösterilebilir.
İstanbul İmplant Diş
MEF Dental Grup kalitesi ve güvencesiyle İstanbul Başakşehir başta olmak üzere Malatya, Elazığ, Tunceli ve Elbistan kliniklerinde İmplant Tedavisi olmak ve Diş İmplantı yaptırarak eksik diş probleminden hızla kurtulmak mümkündür. Bu tedavi süreci hakkında ayrıntılı bilgi almak ve randevu oluşturmak için İletişim kanallarımızı kullanarak Bize Ulaşabilirsiniz...

2025 İmplant Fiyatları
Sağlık alanında gerçekleştirilen her uygulama için olduğu gibi İmplant Tedavisi Fiyatları da hasta muayene edilmeden belirtilemez. Uzman Çene Cerrahı tarafından yapılacak muayene sonucunda tedavi süreci ve ücreti net olarak hastaya belirtilebilir.
İmplant Fiyatları 2025 yılında değişimlere neden olan hususlar arasında;
- Hastanın genel ağız sağlığı ve çene yapısı,
- Kişinin eksik diş sayısı ve bu dişlerin konumları,
- Hastanın genetik yapısı ve yaşı,
- Kişinin mevcut hastalıkları ve düzenli kullandığı ilaçlar,
- Uygulama esnasında tercih edilen İmplant Markası ve Çeşidi,
- Kişinin çene yapısı ve çene kemiği miktarı,
- Tedaviyi gerçekleştirecek Çene Cerrahı hekimi ve kliniğin tecrübesi,
gösterilebilir.
Sizde farklı nedenlerle yaşadığınız diş kayıplarından dolayı Ağız, Diş ve Çene bölgenizde oluşan estetiksel & fonksiyonel rahatsızlıkların iyileştirilmesi ve hayal ettiğiniz ağız ve diş görünümüne kavuşabilmek için Hemen Bize Ulaşın...
Sık Sorulan Sorular
İmplant Ne Demek ?
İmplant kaybedilen dişlerin yerine titanyumdan yapılmış yapay diş köklerinin cerrahi olarak çene kemiğine yerleştirilmesi işlemidir.
İmplant Nasıl Yapılıyor ?
İmplant Tedavisi öncelikle cerrahi müdahale ile çene kemiğine yerleştirilen titanyum vida ile başlar. Ardından iyileşme süreci beklenir ve protez diş takılmasıyla tamamlanır.
İmplant Ne Kadar Sürer ?
İmplant Tedavisi çeşitli faktörlere bağlı olarak değişmekle birlikte ortalama 3 ila 6 ay arasında sürmektedir.
İmplant Sonrası Nasıl Beslenmeli ?
İmplant Sonrası yumuşak ve sıcak olmayan gıdalar tüketilmelidir. İyileşme sürecinde kemikle bütünleşmeyi desteklemek için beslenmeye dikkat edilmelidir.
Dental İmplant Nedir ?
Dental İmplant diş implantının bir diğer adıdır. Kaybedilen dişlerin yerine yapılan titanyum diş kökleri şeklinde ifade edilmektedir.
İmplant Dikişleri Kaç Gün Sonra Alınır ?
İmplant Cerrahisi Sonrasında Dikişler yaklaşık 7 ila 14 gün arasında alınır. Lakin bu süre hastanın iyileşme hızına bağlı olarak değişiklik gösterir.
İmplant Sonrası Geçici Diş Ne Zaman Takılır ?
İmplant Sonrası Geçici Dişler cerrahi işlemin hemen ardından ya da iyileşme süreci tamamlanana kadar takılabilir.
Komple İmplant Nasıl Yapılır ?
Komple İmplant tam dişsizlik durumlarında uygulanan bir tedavi yöntemidir. Çene kemiğine yerleştirilen bir dizi implant ile desteklenen sabit bir protezi içermektedir.
İmplant Fiyatları Ne Kadar ?
İmplant Fiyatları kullanılan malzeme, tedavi sürecinin karmaşıklığı ve uygulandığı yer gibi faktörlere bağlı olarak değişiklik gösterir. Bu konuda size özel bilgi almak için Hemen Bize Ulaşabilirsiniz…
Tedavi Hakkında Detaylı Bilgi Almak İçin Tıklayınız









